近日,北京市和广东省广州市先后报告猴痘感染病例。
猴痘离我们的生活越来越近。建议大家要积极了解猴痘预防知识、做好健康防护。若在国内外有可疑动物、人员或猴痘病例接触史,或出现发热、皮疹等症状,应主动就医,并告知接诊医生境外旅居史和接触史,以协助诊断和治疗。
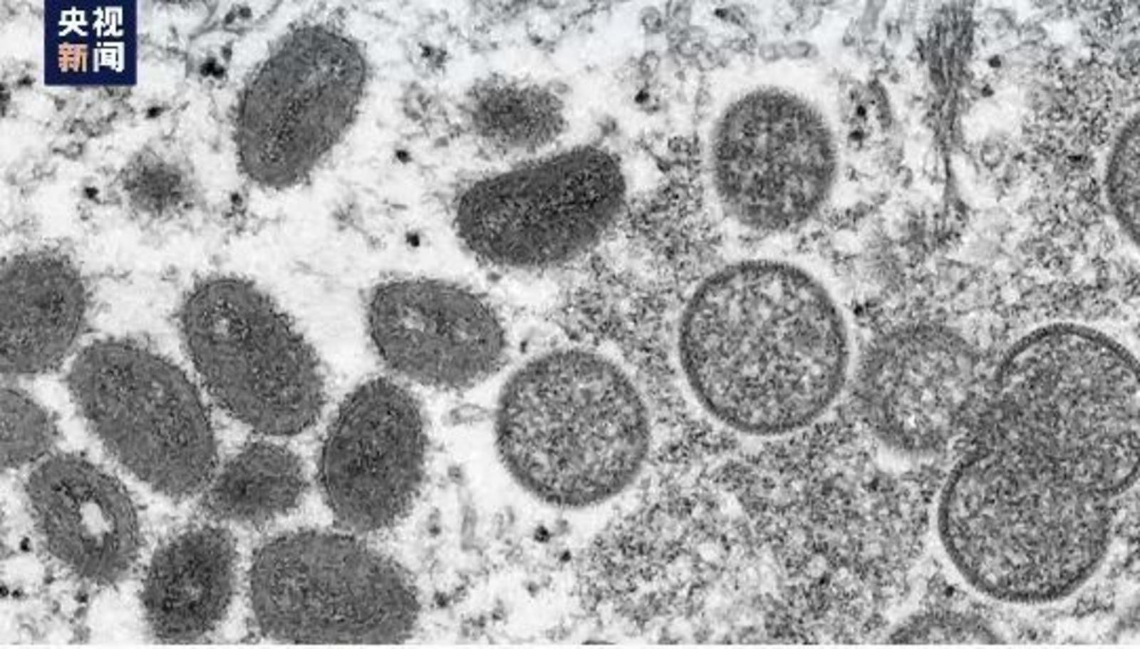
1、猴痘是什么?
猴痘是一种罕见的人畜共患病,罪魁祸首是猴痘病毒,这种病毒属于痘病毒科下的脊椎动物痘病毒亚科的正痘病毒属,同属病毒的命名常与感染的动物有关,像什么兔痘、水牛痘、骆驼痘……而同亚科的病毒命名也有很多是这个风格,像什么鸡痘、猪痘、山羊痘……

人感染猴痘病毒后,症状包括皮疹、起水疱并发展成脓疱、发热、疲劳、肌肉痛等。猴痘是一种自限性疾病,也就是说只要不出现严重并发症,即使只对症治疗或者不进行治疗也会自己好,但是少数人的病情可能会很严重,发生虚脱、衰竭而死亡。
而且猴痘的病死率并不算低,视毒株和病人的具体情况,病死率约为1%-10%,对儿童来说尤其凶险。不过,从过去的经验来看,猴痘本身是比较罕见的疾病,而且主要分布于中非、西非地区,对我国来说影响并不是很大。
2、感染猴痘后有哪些临床表现
潜伏期5-21天,多为6-13天。发病早期出现寒战、发热,体温多在38.5℃以上,可伴头痛、嗜睡、乏力、背部疼痛和肌痛等症状。多数患者出现颈部、腋窝、腹股沟等部位淋巴结肿大。

发病后1-3天出现皮疹。皮疹首先出现在面部,逐渐蔓延至四肢及其他部位,皮疹多呈离心性分布,面部和四肢皮疹较躯干更为多见,手心和脚掌均可出现皮疹,皮疹数量从数个到数千个不等;也可累及口腔黏膜、消化道、生殖器、结膜和角膜等。皮疹经历从斑疹、丘疹、疱疹、脓疱疹到结痂几个阶段的变化,疱疹和脓疱疹多为球形,直径约0.5-1厘米,质地较硬,可伴明显痒感和疼痛。

从发病至结痂脱落约2-4周。结痂脱落后可遗留红斑或色素沉着,甚至瘢痕,瘢痕持续时间可长达数年。部分患者可出现并发症,包括皮损部位继发细菌感染、支气管肺炎、脑炎、角膜感染、脓毒症等。
猴痘为自限性疾病,大部分预后良好。严重病例常见于年幼儿童、免疫功能低下人群,预后与感染的病毒分支、病毒暴露程度、既往健康状况和并发症严重程度等有关。西非分支病死率约3%,刚果盆地分支病死率约10%。
3、天花疫苗可以预防猴痘吗
天花病毒和猴痘病毒经常被相提并论,它们确实关系比较亲近,都是正痘病毒属的。但从杀伤力上来说,二者却相差很大。
目前看猴痘的病死率在1-10%,而天花则可达30%,而且天花的R0可达3,也就是说在无疫苗接种、无防护的情况下,1个天花患者能传染给3个人,正因为如此,天花在被人类彻底消灭前的100年里,杀死了约5亿人。
幸好,人们很早就发现了对付天花的人痘、牛痘的方法,最后终于研究出了针对天花的疫苗,于是天花节节败退,到了1980年,世界卫生组织宣布,在全世界内彻底消灭了天花病毒。因此1980年以后,全球都陆续停止了天花疫苗的接种。
那么天花疫苗和猴痘又有什么关系呢?
原来,由于猴痘病毒跟天花病毒关系比较近,接种过天花疫苗后,同时能获得对猴痘病毒的保护,目前估计约有85%的保护率,也有研究者认为保护率其实没有这么高,但仍有一定的保护作用。
甘肃疾控提醒您:
保持良好的卫生习惯
做好手卫生
避免捕捉、宰杀、生食当地动物
不要与有症状者密切接触
是预防猴痘病毒最有效、经济的办法
